남성난임의 진단
정액검사
난임 부부는 가장 먼저 정액 검사를 하여야 하는데, 그 이유는 정액 검사는 상대적으로 간편하고, 난임의 원인이 남성측에 있다면 복잡하고 부담스러운 여성측 난임증 검사를 하지 않아도 되기 때문입니다. 정상적인 정액 검사 소견은 정액의 양 2~5ml, 정액의 숫자 15X10^6/ml 이상, 정자의 운동성 50% 이상, 정상 형태의 정자가 4% 이상이어야 합니다. [2010년 세계보건기구 (WHO) 기준], 비정상적인 소견을 보이는 경우는 비뇨기과적 진찰, 호르몬 검사, 정관 X-선 조영술, 고환조직 검사 및 면역학적인 검사 등을 실시하여 근본적인 남성 난임증의 요인을 규명하여야 합니다. 이외에도 정밀한 정액 검사 (Computer Assisted Semen Analysis)를 통하여 매우 정확한 정자의 수와 운동성을 확인할 수 있는데, 이것은 일반적인 정액 검사보다 정보가 많아서 향후 임신계획을 세우는데 더 큰 도움이 됩니다.

호르몬검사
FSH, LH, PRL, Testosterone와 같은 뇌하수체 호르몬과 성호르몬 검사를 시행합니다.
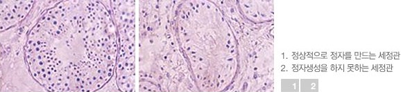
고환조직 검사

여성난임의 진단
배란검사
배란 검사는 여성측 난임 검사의 가장 기본적인 검사로서 기초 체온표, 자궁경관 점액검사 및 호르몬 검사, 초음파 검사 및 자궁내막 검사를 하여 배란의 유무를 알아 볼 수 있습니다.
기초체온표
매일 아침 잠을 깬 직후 기초 체온을 재어 기록함으로써 한 월경 주기 동안 고온기의 존재를 확인하여 배란 유무를 알 수 있습니다. 그러나 최근 배란을 진단하는 좋은 방법이 많이 있어서 매일 기초 체온표를 계속 그리도록 권하지는 않습니다.
자궁경관점액 검사 및 호르몬 검사
배란 시 자궁경관 점액의 분비량이 증가하는 것을 관찰하거나, 월경 주기에 따라 변화하는 여성 호르몬 또는 황체 호르몬 등을 측정하여 배란 유무를 확인 할 수 있습니다. 또한, 소변 검사(소변 LH 호르몬)를 통해서 배란 전에 올라가는 호르몬의 변화를 파악하면, 배란일을 쉽게 추정할 수 있습니다.
배란초음파 검사
배란초음파 검사는 난자가 들어있는 난포의 성장을 월경초기부터 배란이 될 때까지 초음파를 통해 살펴보는 것입니다. 초음파 검사를 통해 정확한 배란일이 결정되면, 부부관계 혹은 자궁 내 인공수정을 시행하여 임신 성공률을 높이는데 도움이 되게 하고, 시험관 아기 시술인 경우에는 호르몬 검사와 함께 난자성숙 정도를 판단할 수 있어 난자채취일 결정에 도움을 주게 됩니다. 통증이 없는 질식 초음파를 이용하는데, 이러한 배란초음파 검사는 배란뿐 아니라 자궁근종, 자궁기형(자궁중격, 쌍자궁 등), 자궁내막증식증, 자궁내막증, 난소종양 등의 부인과 질환을 동시에 관찰 할 수 있습니다.
자궁내막 검사
월경 주기에 따라 난소에서 분비되는 호르몬에 의하여 변화하는 자궁 내막의 조직 검사를 시행하여 배란을 간접 확인 할 수도 있습니다.
호르몬검사
배란에 직접적으로 관여하는 호르몬은 FSH(난포자극호르몬), LH(황체형성호르몬)와 같은 뇌하수체 호르몬이 있으며, 이외에도 prolactin(유즙분비호르몬), TSH(갑상선자극호르몬) 등의 내분비 대사 호르몬의 이상은 난임의 원인이 될 수 있습니다. 이러한 검사는 대개 생리시작일로부터 3일째 쯤에 시행합니다. 최근에는 AMH(Anti-mullerian hormone)라는 난소 잔여 (ovarian reserve) 기능을 평가하는 보다 정확한 호르몬 검사 방법이 개발되어 많이 활용되고 있습니다.

면역학적 검사
체내에 정자에 대한 항체가 형성되면 체액 내에 존재하여 정자와 난자의 수정과정을 방해합니다. 정자의 수와 운동성이 정상이더라도 항정자항체(antisperm antibody)가 높은 역가(titer)를 보이는 양성인 경우는 전혀 수정이 일어나지 않을 수 있습니다. 항체 검사는 정액 검사시 직접 정자에서 검사하거나(Marscreen Test), 간단한 혈액 검사로 판별이 가능합니다.(Immuno Bead Test : IBT)

성교 후 점액검사
성교 후 약 12시간 이내에 자궁경관 점액을 채취하여 현미경하에서 정자의 활동성을 관찰하여 보는 검사로 정자의 이상이나 자궁경관 점액이상, 면역학적인 요인에 의한 난임증 등을 확인할 수 있습니다. 이것은 정확한 정액 검사가 아닙니다. 그러므로 정액 검사를 대신하는 것이 아닙니다.

진단 복강경 검사
복강경(pelvic laparoscopy)을 통하여 복강 안의 모습을 직접 눈으로 관찰하여 보는 검사로, 일반 난임 검사에서 난임증의 원인을 알 수 없었던 경우 복강경 검사를 통하여 자궁내막증(endometriosis)이나 골반강 내 유착 등을 발견함으로써 난임증의 원인을 규명할 수가 있습니다. 또한, 나팔관 폐쇄 및 유착 여부를 확인하고, 나팔관재생수술을 시행했을 때 임신성공률의 예후를 판단할 수 있습니다.
복강경 검사의 적응증
- 자궁 나팔관 X-ray 조영술(HSG, hysterosalpingogram)에서 나팔관 폐쇄 및 이상을 발견한 경우
- 나팔관 부위 유착 등이 의심되거나, 초음파 검사에서 복강 내에 이상 소견이 발견될 때
- 병력상 자궁내막증이 의심되거나, 원인불명의 난임이 의심되는 경우
시술방법
전신 마취 하에 배꼽 주변에 아주 작은 절개를 한 후 탄산가스를 주입하여 배를 부풀린 다음, 복강경을 삽입하여 복강내의 모든 장기를 관찰하고 이상 유무를 확인하여 수술을 결정하는 내시경 검사입니다. 보통 입원이 필요하지 않습니다.

자궁경 검사
직경 3mm정도의 가느다란 내시경 즉, 자궁경 (Hysteroscopy)을 자궁경부를 통해 자궁 안에 삽입한 후 자궁 속을 눈으로 직접 관찰하는 내시경 검사로서 이상 소견이 발견되었을 경우에는 자궁경을 통해 직접 수술이 가능한 검사법입니다. 수면 마취나 국소 마취를 시행할 수 있으며, 이 때 통증은 거의 없습니다. 시술 후 2~3시간 안에 귀가 할 수 있습니다.
자궁경 검사의 적응증
- 자궁기형
- 자궁 내 유착
- 자궁강 내 종양
- 자궁내막의 이상
- 원인 불명의 난임이 의심되는 경우

자궁 나팔관 X-ray 조영술
자궁경부를 통하여 조영제를 주입하고 X-ray로 자궁과 나팔관을 투시하여 보는 검사로 자궁유착, 자궁기형, 자궁강 내 종양 및 나팔관의 소통성 유무를 확인하는 검사입니다.
